| |
|
|
|
|
| |
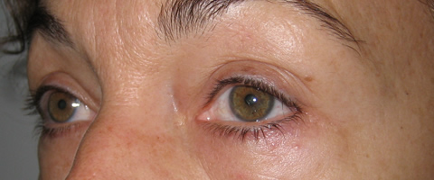
caz #1 |
|
Pacienta 49 ani, blefaroplastie superioara si inferioara, bilaterala.
|
|
|
|
|
| |
caz #2 |
|
Pacienta, 50 ani, blefaroplastie superioara si inferioara, rezultat la 2 luni postoperator |
|
|
|
|
| |
caz #3 |
|
Pacienta, 45 ani, blefaroplastie inferioara transconsjunctivala, rezultat la 18 zile postoperator. |
|
|
|
|
| |
caz #4 |
|
Pacienta, 35 ani, blefaroplastie inferioara transconjunctivala, rezultat la o luna postoperator. |
|
|
|
|
| |
caz #5 |
|
Pacient, 28 ani, blefaroplastie inferioara transconjunctivala, rezultat la 3 saptamani postoperator. |
|
|
|
|
| |
caz #6 |
|
Pacienta , 50 ani, blefaroplastie superioara si inferioara si cantopexie laterala (ridicarea unghiului extern al ochiului); rezultat la o luna postoperator. |
|
|
|
|
| |
caz #7 |
|
Pacient, 40 ani, blefaroplastie superioara, rezultat la 10 luni postoperator. |
|
|
|
|
| |
caz #8 |
|
Pacient, 45 ani, blefaroplastie superioara si inferioara si browpexie stanga (ridicarea sprancenei stangi pentru simetrizare). Rezultat la o luna postoperator. Cicatricea de deasupra sprancenei stangi este imperceptibila. |
|
|
|
|
| |
caz #9 |
|
Pacienta, 50 ani, blefaroplastie superioara si inferioara, rezultat la 3 luni postoperator. |
|
|
|
|
| |
caz #10 |
|
Pacienta, 30 ani, blefaroplastie inferioara transcutanata pentru ameliorarea ridurilor fine de sub ochi. Rezultat la 2 luni postoperator. |
|
|
|
|
| |
|